Zostań partnerem

Zostaw swoje dane osobowe, a my skontaktujemy się z Tobą
ico

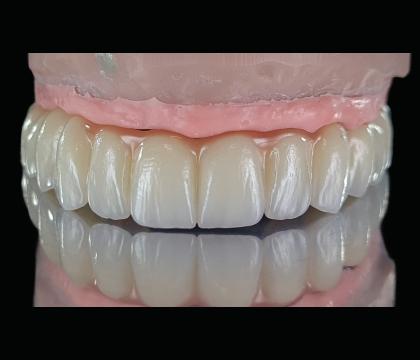
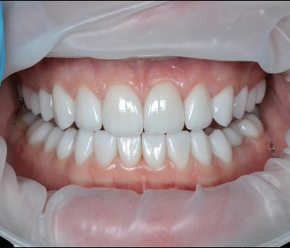
Cyfrowe laboratorium dentystyczne

nowoczesne i niezawodne rozwiązania zgodne z innowacyjnymi i technologicznymi standardami produkcji

Nasze kluczowe przewagi

  • ico

    Tworzymy precyzyjne prace protetyczne o dowolnym stopniu złożoności — od pojedynczych rekonstrukcji po kompleksowe leczenie protetyczne i rehabilitacje na implantach. Szczególną uwagę poświęcamy estetyce oraz długoterminowej funkcji;

  • ico

    Działamy jako cyfrowe laboratorium protetyczne w oparciu o pełny protokół CAD/CAM: projektowanie, precyzyjne frezowanie oraz druk 3D z wykorzystaniem certyfikowanych materiałów premium;

  • ico

    Zlokalizowani w centrum Warszawy, współpracujemy z klinikami i specjalistami w całej Polsce. Zapewniamy stabilne terminy, przejrzystą komunikację oraz sprawnie zorganizowaną logistykę.

ico ico

Zespół

Szczególną uwagę zwracamy na rozwój osobisty i zawodowy naszego zespołu.

To pozwala nam stosować najnowsze innowacje i technologie w celu utrzymania wysokich standardów produkcji.

ico ico

Oferujemy

Licówki/korony/mosty
ico ico
Protetyka na implantach
ico ico
Suprastruktury – "All on X"
ico ico
Całkowite protezowanie
ico ico
Szablony chirurgiczne/szyny/splinty
ico ico
Protezy ruchome
ico ico